top of page
MAXIMINO&NAVARRO IMAGEN PARA TEXTO.jpg
Ancla 2

*¿Como sería un ejemplo de trata-  miento de ortodoncia transparente 

   de media complejidad (moderada)?                   

 

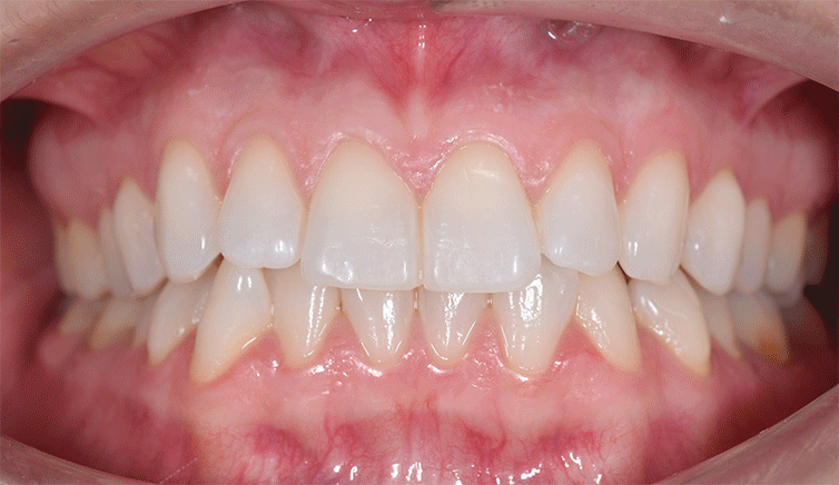
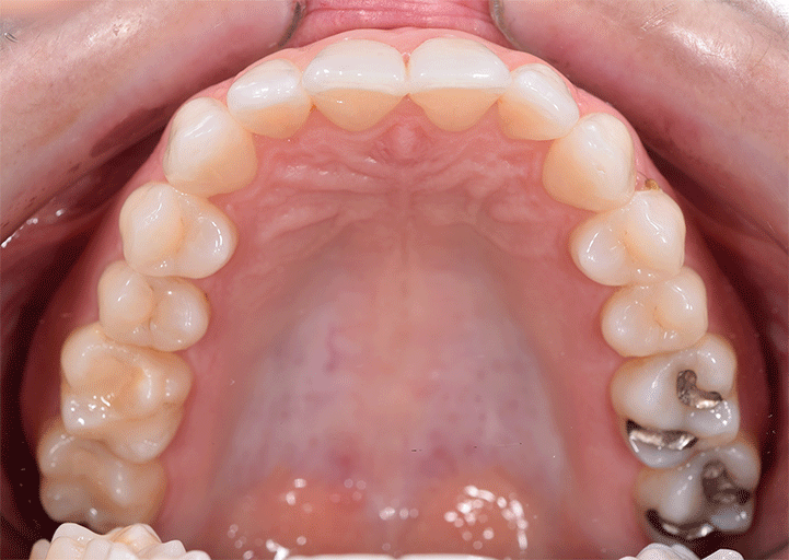
  Ejemplo 1:                    

SAMIA-FRENTE-MODERADA-COMPLEJ-UNA-FOTO.g
SAMIA-OCLUSAL-SUP-MODERADA-COMPLEJ-UNA-F
SAMIA-OCLUSAL-INF-MODERADA-COMPLEJ-UNA-F

  Ejemplo 2:                    

LAURA-TODAS-A-INICIALES-ANTES-Y-DESPUES.
LAURA-TODAS-A-INICIALES-ANTES-Y-DESPUES-
LAURA-TODAS-A-INICIALES-ANTES-Y-DESPUES-

VOLVER

ACCION-BUTTON.gif
VOLVER-ACCION-BUTTON.gif
bottom of page